Рассеянный склероз

Рассеянный склероз (РС) окружен огромным количеством предрассудков, в некоторые из которых верят не только пациенты, но даже врачи.

Главное — и самое опасное — заблуждение, что полноценная жизнь с ним невозможна. Но все современные знания о рассеянном склерозе это опровергают: терапия успешно сдерживает прогрессирование заболевания и облегчает симптомы, чтобы пациент мог жить насыщенной жизнью, полной впечатлений.

Мы подробно разобрали основные мифы, связанные с рассеянным склерозом, чтобы доказать: достижения медицины и здравый смысл сильнее заблуждений, а жизнь с рассеянным склерозом просто требует заботы и внимания к себе.

 

Рассеиваем мифы
Миф 1
Обнаружить рассеянный склероз просто, главное — обратиться к неврологу и пройти обследование

В реальности постановка правильного диагноза может занять годы. Рассеянный склероз называют «болезнью с тысячей лиц» или «хамелеоном» неврологии. Заболевание, особенно на ранних стадиях, может иметь разные, и местами непримечательные, симптомы: головная боль, утомляемость, нарушение зрения или координации. Всё то, что мы привыкли списывать на стресс или переутомление.

1 Рассеиваем Мифы

На момент обращения к неврологу и постановки верного диагноза половина пациентов имеют РС уже около 5 лет.

Чтобы подтвердить диагноз, необходимо:

Пройти консультацию у невролога.
Врач проведет осмотр, оценит рефлексы, двигательную активность и чувствительность пациента.

Оценить состояние пациента с учетом критериев диагностики РС Макдональда.
Эти критерии учитывают, что рассеянный склероз имеет распространенность симптомов в пространстве и во времени.

  • «Распространённость в пространстве» означает разные жалобы — проблемы со зрением, координацией, слабость в ногах. При этом на МРТ фиксируются очаги поражений, которые соответствуют этим симптомам.
  • «Распространенность во времени» означает, что пациент описывает различные проявления болезни в развитии (появление и исчезновение симптомов, периоды обострения и ремиссии), а МРТ показывает наличие разновременных очагов – активных и уже неактивных.

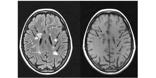
Пройти МРТ головного и спинного мозга.
Это главный инструмент для постановки диагноза. С помощью МРТ можно обнаружить участки измененной плотности в белом веществе головного мозга.

Магнитно-резонансные томограммы головного мозга пациента с рассеянным склерозом в разных режимах съемки. Черными и белыми стрелками показаны очаги демиелинизации (бляшки).

Регулярные МРТ-исследования у пациентов с РС позволяют распознать первые признаки необходимости смены тактики лечения.

Провести пункцию и анализ цереброспинальной жидкости.
При рассеянном склерозе В-лимфоциты начинают вырабатывать антитела к миелину. Эти антитела проникают в спинномозговую жидкость, поэтому при анализе можно увидеть, что их концентрация резко повысилась.

Миф 2
Рассеянный склероз возникает от ангины, после прививок или когда сильно нервничаешь

Причины возникновения рассеянного склероза точно не определены. Рассматриваются несколько вариантов, но большинство специалистов утверждают, что несколько разных причин могут способствовать старту болезни. Прививки, ангина и стресс не являются причиной рассеянного склероза.

Миф 3
С рассеянным склерозом невозможно жить полноценно

Да, рассеянный склероз — хроническое заболевание, но добиться стойкой ремиссии, и, как следствие, полноценной жизни, возможно.

Для этого пациенту необходимо постоянно быть на связи с лечащим врачом, контролировать, как болезнь реагирует на терапию. При рассеянном склерозе большинство новых очагов воспаления не проявляются никакими симптомами. Болезненный процесс прогрессирует внешне незаметно, и обнаружить новые очаги можно только на МРТ, поэтому важно вовремя делать снимки. И если терапия неэффективна или назначенный препарат плохо переносится, корректировать план лечения.

Миф 4
Если болезнь себя никак не проявляет, её не нужно лечить

Это не так. Терапия нужна, даже если болезнь протекает бессимптомно.
А рассеянный склероз — заболевание, которое требует пожизненной терапии. Быстрое начало лечения может значительно замедлить развитие симптомов.

Миф 5
Лечить рассеянный склероз сложно и возможно только в стационаре

Препараты, изменяющие течение РС (ПИТРС), снижают частоту и тяжесть обострений, замедляют прогрессирование болезни и сдерживают развитие когнитивных нарушений. Чем раньше пациент начнет терапию ПИТРС после постановки диагноза, тем выше у него шансы на успешное лечение. Есть данные, что среди пациентов с рецидивирующим ремиттирующим рассеянным склерозом раннее лечение высокоэффективными ПИТРС приводит к более низкому риску перехода во вторично-прогрессирующий рассеянный склероз.

Пациенты с рассеянным склерозом в России имеют право получать препараты против РС бесплатно. Это право гарантирует программа «14 высокозатратных нозологий», призванная обеспечивать наших пациентов необходимыми лекарствами. В программу входит значительная часть препаратов для лечения РС, а не вошедшие в этот список — включены в Перечень ЖНВЛП.

Аутотрансплантации стволовых клеток крови — перспективный метод, развивающийся в последние годы. Он помогает затормозить или вовсе остановить процесс прогрессирования заболевания. Суть метода заключается в «перезагрузке» иммунной системы: терапия предлагает уничтожить опасные лимфоциты и позволить иммунной системе заново восстановить свои клетки. Пока такой радикальный способ предлагают только пациентам с быстро прогрессирующим и не поддающимся терапии РС.

Терапию во время обострения применяют, чтобы сдерживать воспалительный процесс. Она помогает сократить период обострения и ускорить процесс улучшения состояния. Если начать лечение сразу, до неприятные симптомы могут исчезнуть через 3-4 дня. Это уменьшает рубцевание, которое начинается примерно через 6 дней после начала обострения (3). Если же лечение не происходит своевременно, то функциональные нарушения, как правило, усиливаются.

Симптоматическое лечение. Цель симптоматического лечения — улучшить или сохранить двигательные способности пациента и предотвратить осложнения. Оно корректирует усталость, спастичность, боль, дисфункцию мочевого пузыря, тремор, депрессию, пароксизмальные двигательные симптомы (спазмы, миоклонус, дистония, дизартрия) и когнитивные нарушения.

Реабилитация нужна всем пациентам с первых дней заболевания. Она поддерживает физическое здоровье и балансирует психологическое состояние. На этом этапе лечения пациентам может потребоваться помощь физиотерапевта, психолога, логопеда, нейрофизиолога, уролога.

Миф 6
Терапия рассеянного склероза — сложный процесс, который должен проходить только под контролем врача

Совсем не обязательно. В зависимости от типа рассеянного склероза и его активности подбирают соответствующее лечение. Существует большой выбор препаратов, изменяющих течение рассеянного склероза (ПИТРС) в различных формах (таблетированная, подкожные инъекции и пр.), которые можно принимать дома самостоятельно.

Миф 7
Для женщины с рассеянным склерозом беременность может быть опасной

Рассеянный склероз — не препятствие беременности, но её планирование у пациентки с РС требует совместного участия невролога и гинеколога.

Пациенткам рекомендуется отложить беременность до достижения 1 года стабильного течения заболевания на фоне терапии: при ≤1 обострении в предшествующем году и до достижения 2 лет стабильного течения при ≥2 обострении в предшествующем году.

Подготовка к беременности — один из важных факторов, влияющих на выбор терапии препаратами, изменяющими течение РС (ПИТРС), уже на этапе первичного назначения.

Миф 8
При рассеянном склерозе нельзя делать прививки

Здесь проблем нет: люди с рассеянным склерозом могут прививаться. Особенно важно сказать об этом в связи с пандемией COVID-19. Сам по себе рассеянный склероз не является фактором, который повышает риск заражения коронавирусной инфекцией или осложняет течение болезни. Но если у пациента есть сопутствующие заболевания, например, сахарный диабет, риск более тяжёлого течения коронавирусной инфекции есть.

Терапия на дому также позволяет уменьшить количество посещений клиники, а значит снизить риск заразиться инфекционным или вирусным заболеванием.

Миф 9
Люди с рассеянным склерозом не могут работать

Этот диагноз — не повод увольняться с работы или оставлять социальную жизнь, но что-то в привычном распорядке придётся поменять. Каждый пациент имеет право сам решать, сообщать работодателю или нет. Но если все-таки решились, то можно рассказать о физических ограничениях и обсудить, как адаптировать рабочие условия под особенности диагноза.

Не бойтесь попросить своего работодателя внести разумные изменения, которые позволят вам лучше выполнять свою работу или облегчат вам доступ к рабочему месту. Несмотря на то, что большинство больных РС не нуждаются в адаптации своего рабочего места, для вас может быть полезной информация об изменении рабочей среды, которая, по мнению некоторых больных РС, считается полезной.

Большинство изменений в условиях труда для больных РС не требует особых затрат, а некоторые из них вовсе ничего не стоят.

Это может быть:

  • предоставление сотруднику места для отдыха в течение рабочего дня и регулярных перерывов;
  • гибкий или укороченный рабочий день;
  • перенос рабочего места подальше от источника тепла (что может помочь при наличии усталости) или ближе к туалетной комнате;
  • передача части обязанностей другому сотруднику;
  • предоставление времени для посещений врача;
  • предоставление другого рабочего места;
  • проведение встреч в удобное время или в удобном для вас месте;
  • гибкий график, позволяющий частично работать из дома;
  • парковочное место в непосредственной близости от входа в здание;
  • улучшение физической доступности офиса, например, установка пандусов.
Миф 10
Есть специальные диеты, помогающие выздороветь

Диеты, которая могла бы излечить рассеянный склероз, не существует. Но это не значит, что за питанием не нужно следить. Придерживаться здорового рациона важно. Приёмы пищи должны быть сбалансированными в отношении белков, жиров и углеводов.

Что полезно есть при рассеянном склерозе:

4 Рассеиваем Мифы

Следует избегать:


1. Насыщенные жиры и полуфабрикаты
2. Сладкие напитки
3. Большое количество красного мяса
4. Жареные продукты
5. Низковолокнистые продукты

Рацион больного рассеянным склерозом должен включать в себя большое количество свежих овощей и фруктов, а также продукты питания с большим содержанием витаминов и микроэлементов, которые стимулируют обмен веществ в клетках организма.

Нужно исключить из рациона жиры животного происхождения, в которых много холестерина. С одной стороны, в ходе восстановительных процессов в миелиновых оболочках используется большое количество ненасыщенных жирных кислот, содержание которых в богатых холестерином продуктах невелико. С другой стороны, больные рассеянным склерозом должны максимально уменьшить риск ухудшения проходимости кровеносных сосудов. Этим обусловлен процесс старения нервной системы и у пациентов с РС он может проявиться раньше, чем у других людей, потому что "накладывается" на уже имеющиеся функциональные нарушения. Кроме того, поражение кровеносных сосудов может замедлить восстановительные процессы.

Миф 11
С рассеянным склерозом заниматься спортом нельзя

Наоборот, спорт и физическая активность при РС только положительно сказываются на здоровье пациента. Можно заниматься любым видом спорта, насколько позволяют ограничения физических способностей. Но чтобы избежать превышения нагрузки и возможных травм, заниматься лучше с тренером или по заранее составленному плану.

Статьи

Мы используем файлы cookie, они помогают нам делать этот сайт удобнее для пользователя